肝癌一直以来都是人类不断攻克的难关,目前肝细胞癌的主要治疗方法是手术(肝切除或肝移植)、放疗、经导管动脉化疗栓塞(TACE)和靶向治疗(如索拉非尼)。

然而不幸的是,由于肝癌早期的症状十分隐匿,不易被患者察觉,等到症状明显时90%以上的肝细胞癌患者就已处于中期或终末期,无法通过手术切除,加上晚期弥漫性肝癌预后极差,即便是通过放化疗等手段,其中位生存期不足6个月。
细胞免疫疗法,成为晚期肝癌患者生存希望
对于已经失去手术机会的晚期肝癌患者来说,介入治疗的缓解期不能满足他们长期生存的愿望。而靶向药物虽能在一定程度上控制肿瘤的进展,但会不可避免地产生耐药,患者想实现长期生存还只是梦想。

尤其是对于一些年龄比较大或身体虚弱的患者来说,常常无法耐受手术或放化疗,如果强行进行手术、放化疗,很可能无法获得更好的治疗效果,反而会导致过度治疗,从而引发一些并发症,影响治疗效果。

另外对于一些晚期患者来说,常常已经无法进行根治性的切除术,临床中也不以肿瘤缩小、指标降低做为治疗起效的标准,而是更看重患者是不是活得好,生活质量是不是高。
不过近年来,随着人类基因组和癌症基因组计划的顺利实施,对肿瘤的发生、发展和转归等分子机制的认识、诊断水平的提高,生物治疗正发挥其毒性小、靶向性强、抗肿瘤作用明显等优势,逐步走上了肿瘤临床治疗的历史舞台,使得细胞免疫疗法得到了突飞猛进的发展,如NK细胞免疫疗法、DC细胞免疫疗法、NKT细胞免疫治疗等等。

细胞免疫疗法主要是通过应用现代的高科技生物技术,采集肿瘤患者的外周血,在体外短时间内诱导培养出大量的树突状细胞,并装备上患者自身没有的免疫细胞,精确“瞄准”并杀伤癌细胞,不仅可以缩小肿瘤,而且能够识别出体内的癌细胞,试试打击清除,减少癌细胞的扩散转移,有望提高患者的5年生存期。
α-GalCer-DC疫苗,大幅提升晚期肝癌患者生存率
细胞免疫疗法的发展给许多肝癌患者带来希望,而随着新一代测序技术的发展,尤其是新生抗原技术的出现,使细胞治疗的疗效更上一层楼。

相比传统的肝癌治疗手段,癌症疫苗可以在体内激活和增殖,具有持久抗肿瘤作用,能有效增强机体的免疫反应,发生严重毒性反应的概率更低,患者耐受性更好,可延缓肿瘤的进展,延长患者的生存时间——多项肝癌临床试验显示,癌症疫苗可提高患者的总生存率和无瘤生存率。
案例分享
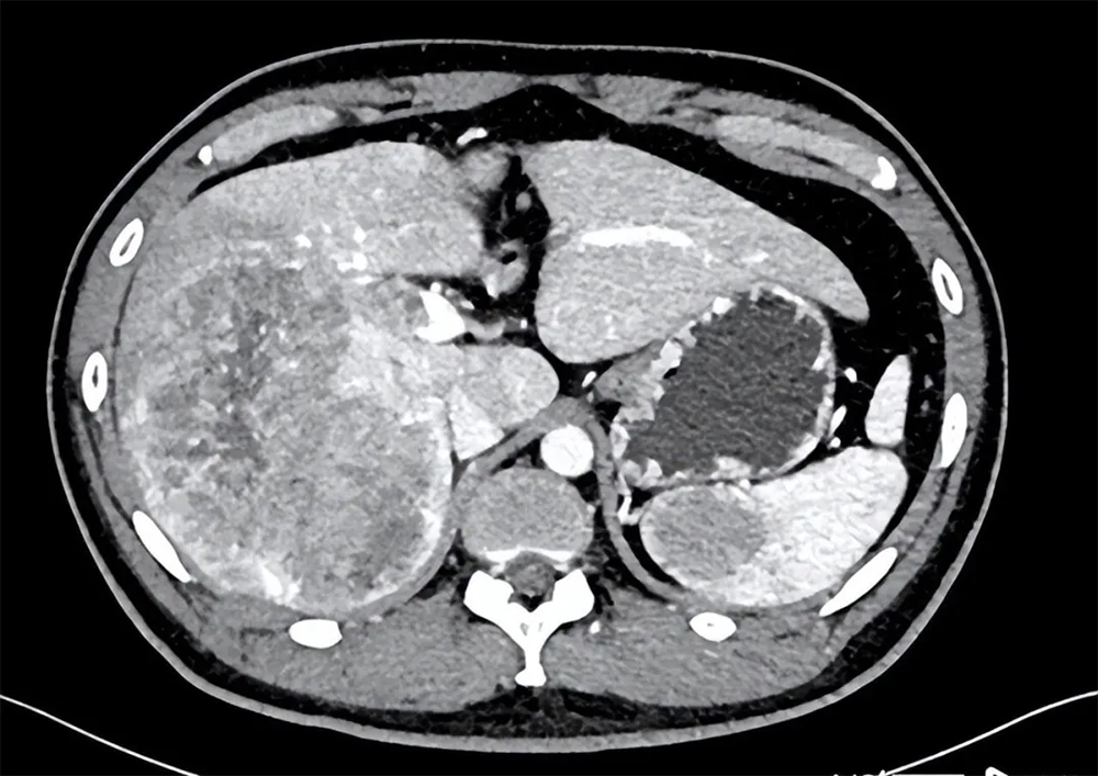
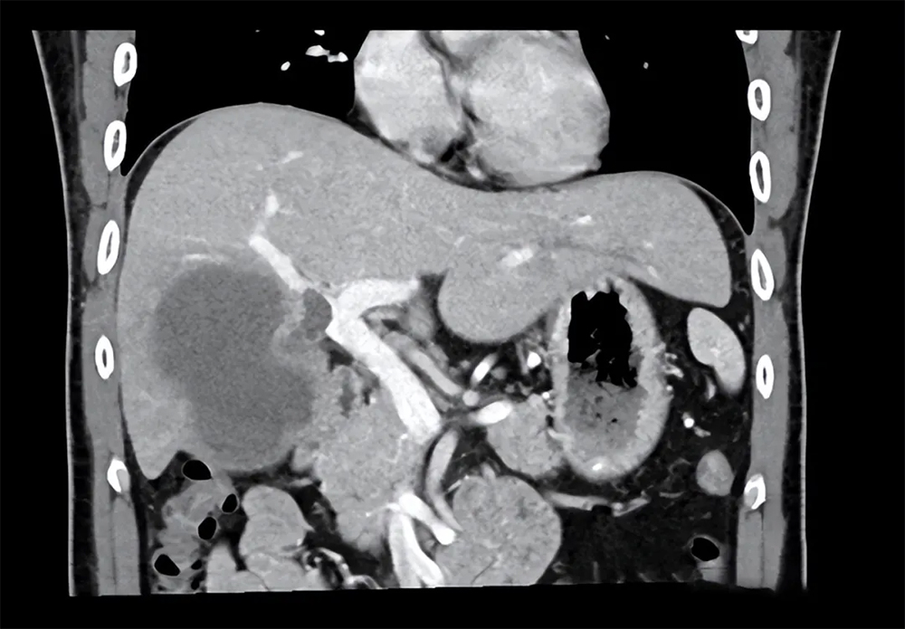
患者李先生21年被确诊肝癌晚期,由于肿瘤较大,正常肝脏已经不足30%,如果切除,剩余肝功能无法支撑人体的正常需求,加上肿瘤已经侵犯血管,形成癌栓,并且逐渐向脾脏出现转移,经医生评估后认为已经无法通过手术切除肿瘤。

随即医生展开了MDT会诊,决定里采用免疫治疗PD1+靶向药物治疗的方法,希望以此消除肿瘤,并使肿瘤缩小,后续再寻求手术机会。

然而事与愿违,经治疗李先生的肿瘤并没有明显缩小,随后经过细胞免疫专家面诊,在仔细研究李先生的病历资料,并完善抗原分析后,专家决定予以Tat-Myc免疫+α-GalCer-DC疫苗+介入治疗的方案。

专家表示,Tat-Myc蛋白质免疫治疗可以改变肿瘤的生存环境,降期肿瘤活性,延缓进展,并激活体内的免疫细胞,对癌细胞快速发动攻击,使肿瘤缩小。
随后在联合癌免疫苗,通过提取李先生体内的免疫细胞,并对其增殖培育,同时嵌入新生抗原,再将其回输到体内,从而形成免疫大军,对体内的免疫细胞发动总攻,进一步缩小肿瘤。

而介入治疗能够在消灭癌细胞的同时,释放更多的抗原,使免疫细胞能够更快识别,以期从内部攻克巨大的癌肿。
三种疗法结合,能够缩小肿瘤体积,遏制肿瘤进一步生长,待时机成熟了在进行手术切除。

在经过治疗后:复查肿瘤体明显萎缩,肿瘤相关生物指标也在不断下降。到2022年4月份复查CT,肿瘤总体积已经缩小了一半多,剩余肝脏体积也明显增加。
最终经过医生评估,认为李先生的身体情况良好,可以耐受手术,最终在全麻插管下行腹腔镜脾切除+巨大肝癌切除+胆囊切除术+门静脉切开取栓术,将体内病灶切除。

医疗技术的发展,使肝癌治疗的武器愈发丰富,如今,以往不可切除的中晚期肝癌患者也有了长期生存的希望,因此对晚期癌症患者来说,千万不要放弃治疗,要积极寻求先进的治疗方法,坚持治疗,相信自己的身体和意志力,一定能够战胜病魔,获得更好的治疗效果。